
Depuis Juillet 2025, votre clinique vétérinaire de Calvisson est équipée d’un scanner. Il s’agit d’un Canon lighting aquilion 16/32 barrettes, également utilisé chez l’humain, et permettant l’acquisition d’images de haute résolution. Cet appareil vient compléter notre offre en imagerie : radiographie et échographie, disponibles à la fois dans les cliniques de Villevieille et de Calvisson, et endoscopie à la clinique de Calvisson.
Qu’est-ce que c’est, un scanner ?
La tomodensitométrie, plus couramment appelée scanner, (ou TDM, ou CT-scan), est une technique d’imagerie médicale, non invasive (ouf !), qui consiste à mesurer l’absorption des rayons X par les tissus, puis à numériser les informations obtenues. Le scanner produit ainsi toute une série de coupes anatomiques fines, (comme des tranches de jambon, en fait, mais très fines), qui sont ensuite traitées par un ordinateur pour reconstruire des images 2D ou 3D des parties du corps étudiées. (On juxtapose les images des tranches de jambon pour reconstituer l’image du jambon tout entier ; ça vaut ce que ça vaut comme comparaison, mais ça donne une bonne idée de la chose).
Dans certains cas, la réalisation du scanner nécessite l’injection d’un produit de contraste. Il s’agit d’une substance qui opacifie certaines parties du corps pour les rendre visibles sur les images, alors que sinon, on les distinguerait mal (voire pas du tout) des tissus environnants.
On en reparlera plus loin mais on le précise d’ores et déjà : pas d’inquiétude à avoir pour votre petit compagnon. Déjà, c’est un examen qui ne fait pas mal, (celles et ceux qui y sont passés le savent), c’est juste un peu bruyant… mais de toute façon, votre animal sera endormi !

Concrètement, le scanner se compose d’une table, sur laquelle votre chat, chien, lapin, cobaye… est confortablement installé dans un coussin (photos ci-dessus et ci-dessous à gauche). Une fois l’animal bien en place, cette table va glisser à travers un anneau circulaire, dans lequel se trouve le tube à rayons X. Celui-ci va se mettre à tourner autour du patient en émettant… des rayons X sous tous les angles. Des détecteurs mesurent l’absorption de ces rayons par les tissus et envoient tout cela vers un ordinateur situé dans la pièce à côté, où se trouve également le poste de commande du scanner (photo ci-dessous à droite). C’est cet ordinateur qui se chargera de reconstituer les images en 2D ou 3D dont on vient de parler.
A quoi ça sert ?
Vous nous direz : quel besoin d’avoir un scanner quand on dispose déjà d’une radio et d’un échographe, sans compter plusieurs endoscopes ? Eh bien parce qu’on ne voit pas les mêmes choses, ou pas de la même façon, avec ces différents instruments ; par exemple, on peut repérer une tumeur dans les sinus nasaux avec un endoscope, mais on en cernera mieux la taille, la localisation et l’extension aux structures adjacentes avec un scanner. (Mais quand même, l’endoscope permettra d’aller au contact de la tumeur, et d’y faire des prélèvements (biopsies) ! Chaque technique garde donc son intérêt). Même chose pour des lésions de l’oreille moyenne ou de l’oreille interne : on peut les voir plus ou moins clairement à la radio, on en diagnostique certaines par otoscopie, mais le scanner ne laissera pas de place au doute, et nous donnera une image plus précise. Et puis il y a des choses qu’on voit uniquement au scanner : par exemple, des métastases pulmonaires trop petites pour être visibles sur une radio, mais que le scanner nous permettra de détecter. Sans être aussi performant que l’IRM pour regarder ce qui se passe à l’intérieur du crâne, le scanner nous montrera tout de même un certain nombre d’anomalies cérébrales, que l’on ne pourrait pas voir en radiographie ou en échographie, car masquée par les os du crâne : par exemple, une hydrocéphalie ou une tumeur importante.

Photos ci-dessus : à gauche, une fistule (= un canal par lequel s’écoule du pus) sous l’œil d’un chien : dans cette localisation, on peut suspecter une atteinte de l’os sous-jacent, causée par une infection de la carnassière (la grosse prémolaire qui se trouve juste en-dessous). A droite : reconstitution en 3D du crâne du chien, confirmant l’existence des lésions osseuses, au-dessus des racines de la carnassière.
Ci-contre : tumeur dans les cavités nasales d’un griffon présentant une forte gêne inspiratoire depuis quelques jours.
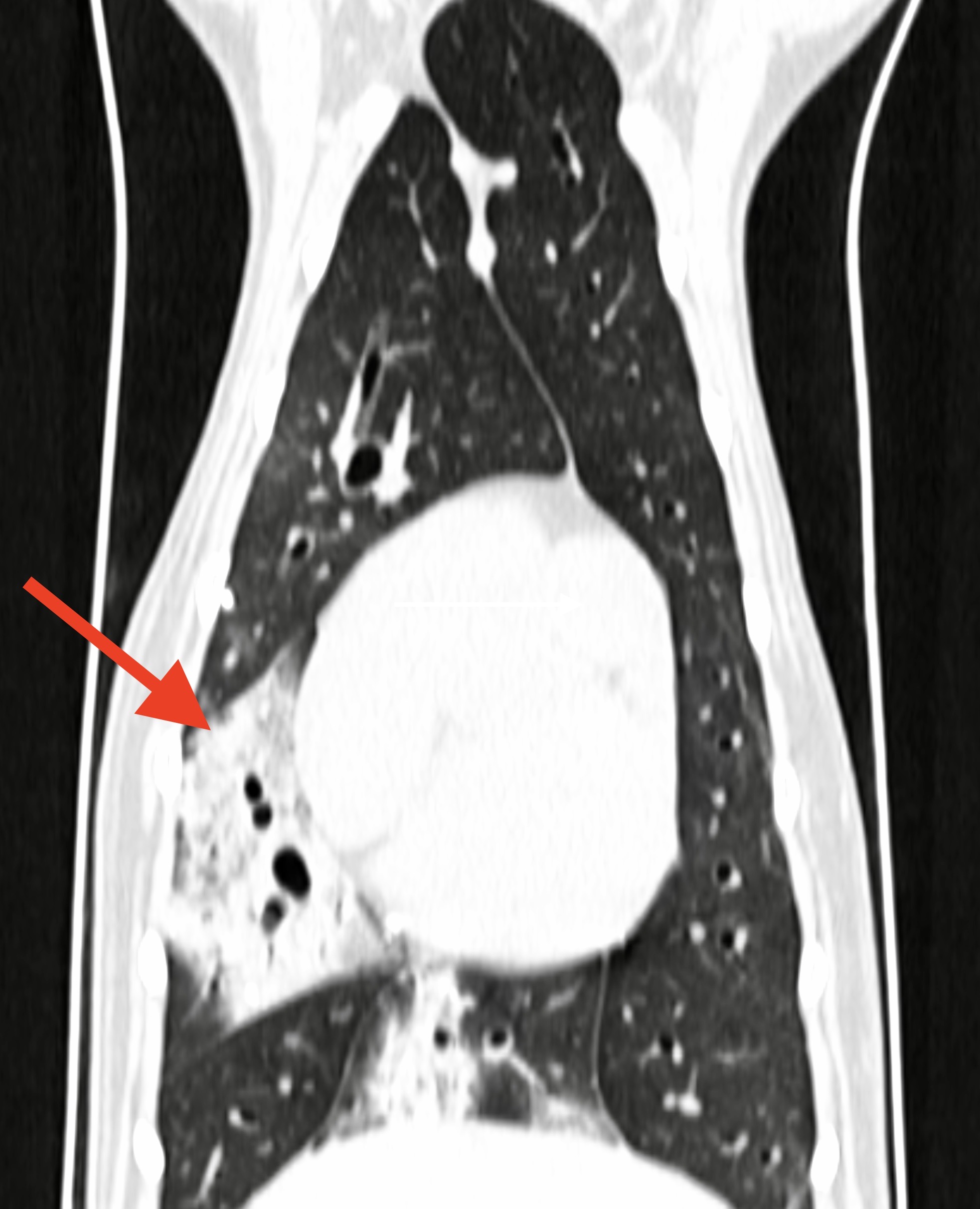
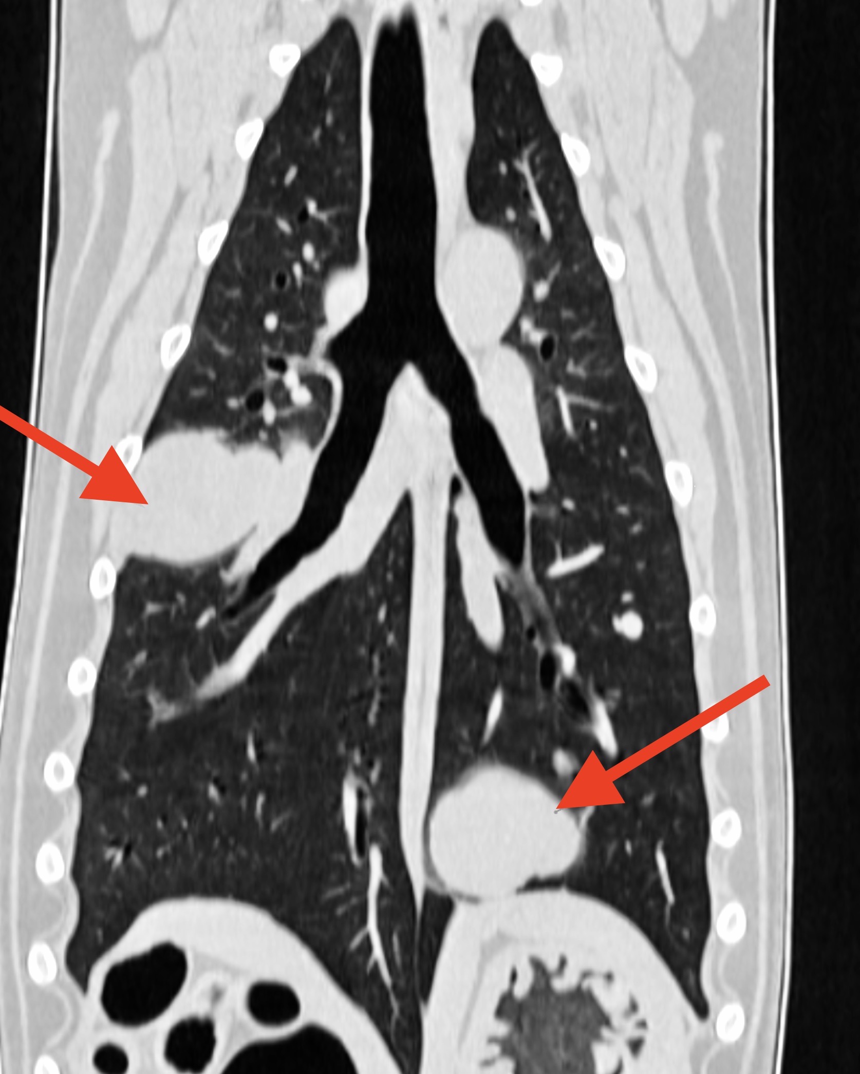
Scanner pulmonaire chez deux chiennes : à gauche, consolidation de la partie ventrale des lobes pulmonaires moyen droit et accessoire, compatible avec une pneumonie par fausse déglutition, chez une border collie atteinte de paralysie laryngée. A droite : Deux métastases pulmonaires chez une chienne présentant un carcinome mammaire de grade 3 (autrement dit, une tumeur mammaire très méchante).
Comment ça se passe ?
L’examen se déroule forcément sous anesthésie générale. Nous, quand on passe un scanner, on nous demande de ne pas bouger et – en général – on ne bouge pas, mais si vous demandez la même chose à Kiki, il est peu probable qu’il obéisse. Donc Kiki sera anesthésié et bien calé dans un coussin, de sorte qu’il conserve la même position pendant tout l’examen. Celui-ci dure une vingtaine de minutes, environ ; (hors temps de préparation, par exemple si on doit injecter un produit de contraste pour un myéloscanner).
Les images sont lues et interprétées sur place, ou si nécessaire, par une association de spécialistes d’imagerie (VEDIM).

Ci-dessus à gauche : positionnement soigneux de ce petit chat, qui doit être parfaitement symétrique sur ses coussins. Au premier plan, le tuyau de l’anesthésie gazeuse. A droite : ce petit husky est positionné, on va pouvoir commencer. Photo ci-contre : et un petit lapin ! Parce qu’il n’y a pas de raison…
Donc concrètement : votre animal doit être à jeun depuis la veille au soir, comme avant toute anesthésie générale. On lui laisse néanmoins de l’eau jusqu’au moment du départ. S’il nous est référé par un vétérinaire, il sera vu en consultation à l’entrée. (S’il s’agit de l’un de nos patients, la consultation au cours de laquelle l’examen a été décidé aura forcément déjà eu lieu). Cette consultation comprendra un examen clinique, (avec une attention particulière à l’auscultation cardiaque, comme avant toute anesthésie), et des examens complémentaires (hématologie, biochimie sanguine…), notamment chez un animal âgé. (A moins que ces examens aient déjà été réalisés chez le vétérinaire référent). Sauf cas particulier, la sortie se fera le soir même.








